Procedures Performed

It's not "Just a cleaning"

Hygiene Care

We have on staff highly trained dental hygienists who perform periodontal scalings, home care instruction/education, maintenance visits, sealants, and fluoride treatments.

Our Hygienists are available to answer questions you may have regarding the plethora of mechanical toothbrushes on the market, teeth bleaching options and help advise the best ones for your situation.

Hygiene is an integral part of maintaining teeth for a lifetime. During your hygiene visit, harmful plaque and tartar are removed from your teeth, medical history information is updated, oral cancer screening exam is performed, health status of the periodontium (gums) is evaluated and teeth are checked for caries (dental decay, which is also commonly known as cavities).  Fluoride treatments and X-rays are completed on an individualized basis.

The hygienists and dentists at Feit and Jonas Dental will determine the recommended frequency with which you should return for this type of visit.

Digital X-Rays

X-Rays made at Feit and Jonas Dental are digital x-rays.  That means that the x-ray image appears almost instantaneously on a computer monitor allowing for faster diagnosis of issues and more importantly MUCH LESS radiation as compared to x-rays exposed using the old fashioned film and tedious developing.

 

An image is created on the computer monitor as the x-ray beam penetrates through different densities of tissues.  Teeth being very dense and gums and lips being very low dense. Teeth appear lighter because fewer X-rays penetrate to reach the film. Images can be filtered to enhance areas of concern .Cavities and gum disease appear darker because of more X-ray penetration. The interpretation of these X-rays allows the dentist to safely and accurately detect hidden abnormalities.

The doctors at  Feit and Jonas Dental will determine how frequent you should have x-rays on an individualized basis depending on your particular oral health. It is important to recognize that just as each patient is different from the next, so should the scheduling of X-ray exams be individualized for each patient. Your medical and dental history will be reviewed and your mouth examined before a decision is made to take X-rays of your teeth.

The schedule for needing radiographs at recall visits varies according to your age, risk for disease and signs and symptoms. Recent films may be needed to detect hidden cavities, or to determine the status of gum disease or for evaluation of growth and development. Children may need X-rays more often than adults. This is because their teeth and jaws are still developing and because their teeth are more likely to be affected by tooth decay than those of adults.


Cosmetic Dentistry

Veneers

Teeth that are badly stained, shaped or crooked may be improved by a veneer placed on the surface of the affected teeth. Veneers are made of very thin shells of porcelain or composite that is bonded directly to the front surfaces of teeth. Once in position a whole new smile can be created that is virtually undetectable and highly resistant to staining and discoloration. Only proven materials and techniques are employed in this highly technical procedure.  Typically, veneers entail at least three appointments: diagnosis and treatment planning, preparation, and bonding. Veneers can also be used on teeth with uneven surfaces or are chipped, discolored, oddly shaped, unevenly spaced or crooked. Little or no anesthesia is needed. Porcelain veneers have a longer life expectancy and color stability than bonding, and highly resist permanent staining from coffee, tea, or even cigarette smoking.

Veneers are usually irreversible because it`s necessary to remove a small amount of enamel from your teeth to accommodate the shell.

Porcelain veneers can mask undesirable defects, such as teeth stained by tetracycline, by an injury, or as a result of a root-canal procedure, and are ideal for masking discolored fillings in front teeth. Patients with gaps between their front teeth or teeth that are chipped or worn may consider porcelain veneers.

During a two-week period of adjustment that follows, you may notice the change of size and shape in your teeth. It is important to brush and floss daily. After one or two weeks, you’ll return for a follow-up appointment. Porcelain veneers are reasonable facsimiles of natural teeth, not perfect replacements. It’s not uncommon to see slight variations in the color of porcelain veneers upon close inspection, as this occurs even in natural teeth.

For certain patients no preparation of the teeth may be necessary. Please see our specialties page for more information.

Bonding


Bonding is a simple and effective treatment option for fillings.

These fillings are closely matched to your tooth shade making them virtually undetectable.

Dental Implant Restorations

 

Before development of dental implants, dentures were the only alternative to replacing a missing tooth or teeth.

Implants are synthetic structures that are placed in the area of the tooth normally occupied by the root. Implants are anchored to the jawbone or metal framework on the bone and act as a foundation for an artificial tooth or permanent bridge. In some cases, implants can be used to attach dentures.

Not everyone is a candidate for a dental implant, however. For a successful implant to take hold, a candidate must have proper bone density and have a strong immune system. In all cases, dental implants require strict oral hygiene.

Implants are so well designed that they mimic the look and feel of natural teeth. Implants are usually made of a synthetic yet biocompatible material like metal or ceramic.

Surgery is necessary to prepare the area for an implant and place the implant in the mouth. Following the procedure, a period of time is required for the implant to take hold and for bone tissue to build up and anchor the device. In some cases, metal posts are inserted into the implant during a follow-up procedure to connect the tooth.

Because implants require surgery, patients are administered anesthesia and, if necessary, antibiotics to stave off infection following the procedure.

Like any restoration, implants require diligent oral hygiene and proper care to ensure they last a long time.

Dental implants are the treatment of choice for replacing missing teeth and saving adjacent healthy teeth from preparation for a bridge. Implants are the foundation for restoration of teeth that feel, function and look like natural teeth. Once in place and restored the patient regains the ability to smile with confidences and eat almost anything. Additionally, dental implants help to preserve bone that would usually resorb in the absence of a tooth as well as preserve and maintain the natural contours of the face.

Dental implants are a fabulous treatment option that is really changing peoples live in a very positive way! People who struggled with poorly fitting and difficult to wear dentures, unesthetic teeth, missing teeth, advanced periodontal disease with loose teeth and painful conditions are enjoying comfort and confidence while they eat, smile, laugh and enjoy life!

Dental implants can be used to replace one tooth, make a bridge replacing multiple teeth, as well as restore all of the teeth on the upper or lower arch. “Permanent” fixed bridges as well as removable bridges can be made using dental implants to restore an entire arch or mouth.

Crowns

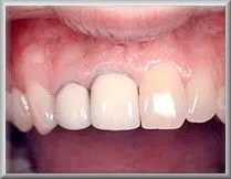
A "cap" or crown restores a broken, heavily filled or cracked tooth to its original form and function. Many times a crown is performed after root canal therapy and post placement, to strengthen and protect the remaining tooth. This also improves the tooth’s appearance.   An all porcelain crown will give a more natural appearance, as shown here.


BEFORE


AFTER

Bridges

This restoration is non-removable that restores one or multiple missing teeth. This will improve the overall health of the mouth by maintaining arch integrity and continuing optimal oral health.


Image courtesy of Straumann Implants

Full Mouth Rehabilitation

Many people who desire to have their whole mouth restored do so because most of their teeth have either fillings and crowns placed at different times. This results in a situation where the bite just doesn't feel right, every tooth seems to have a different color, and in cases one or more teeth need to be removed due to a crack or its loose from other disease.  Rest assured that whether you need to have one or all teeth removed --you will never walk around without teeth.

Complete Dentures

Complete dentures are an excellent treatment option for patients who have lost all of their teeth (upper, lower or both). This restoration is commonly removable, and is cleaned and cared for out of the mouth by the patient on a daily basis. Patients may have the option to incorporate implants into their dentures. The implants will aid in retention and increases patient confidence as they speak, eat, smile and laugh with friends. Patients who wear dentures continue to require routine dental examinations to ensure the health of the mouth and surrounding tissues, comfort and appearance. Gum tissues are in a constant state of change, periodic exams may indicate the need for relining a denture to maintain or restore a tight comfortable fit.

Partial Dentures

Partial dentures have many of the same benefits that complete dentures have and require the same care. People requiring partial dentures have fewer many missing teeth. The remaining teeth are used to help retain the partial denture and resist movement while in function.

Bleaching

Teeth bleaching is a simple and cost effective method many people find effective in achieving the beautiful lighter smile they’ve always dreamed about. In extreme case of discoloration, crowns and/or veneers may be the only choice, but due to the relatively low cost, bleaching is almost always worth a try.


BEFORE


AFTER

Contact Us

Feit & Jonas Dental

19 Franklin Street

Tenafly, NJ 07670 US

(201) 569-4535



Feit and Jonas Dental has been recognized as one of the top Tenafly Dentistry practices. Verified by Opencare.com